[뉴스맘]여수시는 지난 24일 충무동 통장단을 대상으로 2026여수세계섬박람회 설명회를 열고 시민 참여 분위기 확산을 위한 본격적인 홍보를 이어갔다. 이번 설명회는 지난 18일 여천동에서 시작된 읍면동 순회 홍보활동의 두 번째 일정으로 섬박람회 개요와 추진 상황, 시민이 함께할 수 있는 실천 운동에 대해 안내하고 참여를 독려하는 자리로 마련됐다. 설명회에 참석한 통장단은 사전입장권 구매, 일상 속 홍보활동 참여 등 박람회 성공을 위한 다양한 방안을 함께 모색하며 현장 분위기를 이끌었다. 시 관계자는 “관내 읍면동을 순차적으로 …
여수 전향윤 기자2025. 06.25[뉴스맘]백인숙 여수시의회 의장과 박성미·민덕희 의원이 전국공무원노동조합 여수시지부가 실시한 설문조사에서 ‘베스트 시의원’으로 선정됐다. 이번 설문조사는 지난 5월 26일부터 8일간 진행됐으며, 평가 기준은 △집행부에 대한 인격 존중 △조례 발의 실적 △공정한 의정활동 △도덕성과 청렴성 △소신 있는 정책결정 등으로, 의정활동 전반에 대한 공무원들의 의견을 수렴해 선정이 이뤄졌다. 세 의원은 이러한 기준에 따라 설문 응답자들로부터 긍정적인 평가를 받아 베스트 시의원으로 선정됐다. 이에 따라 여수시공노조는 지난 24일 시의회 의장실…
정치 전향윤 기자2025. 06.25[뉴스맘]여수시의회는 24일 웅천 발콘드예울 카페에서 ‘웅천지구 현안사업 및 중학교 이설 관련 간담회’를 개최했다. 이번 간담회는 최정필 여수시의회 의원과 웅천지구 중학교 이설 추진위원회(위원장 황필환)가 공동 주최했으며, 여수교육지원청과 여수시 관계자, 학부모 등 약 50여 명이 참석했다. 간담회에서는 지난 4월 열린 1차 간담회 이후 웅천지구 중학교 이설 추진 현황을 점검하고, 지역 주민들의 궁금증을 해소하는 동시에 지역 현안사업에 대한 설명과 협의가 함께 진행됐다. 여수시 관계자는 “현재 웅천지구 학교부지 관련 행정지원협…
정치 전향윤 기자2025. 06.25[뉴스맘]광주광역시 서구가 ‘착한도시 서구’의 대표 복지브랜드인 ‘천원국시’를 비롯해 ‘천원택시’, ‘천원애(愛) 드림세탁’ 등 일상에 힘이 되는 착한복지 정책을 확장하며 ‘천원의 동행’이라는 생활밀착형 복지모델을 완성해가고 있다. 이들 사업은 단순 지원을 넘어 나눔과 연대의 가치를 실현하며 ‘착한도시 서구’의 정체성을 굳건히 다지고 있다. 최근 서구는 ‘천원국시’ 10호점을 열었다. 현재 서구 곳곳의 천원국시 매장에서 하루 총 1000그릇(매장당 100그릇)의 국수를 착한 가격에 제공하고 있다. 이 사업은 어르신 일자리 창출,…
서구 전향윤 기자2025. 06.25[뉴스맘]광주광역시 서구는 25일 관내 유동 인구가 많은 풍금사거리 일대에서 디지털 성범죄 예방을 위한 홍보 캠페인을 실시했다. 이번 캠페인은 불법 촬영 범죄로부터 여성들이 안심하고 생활할 수 있는 여성친화도시를 조성하고자 기획됐다. 이날 서구는 시민참여단인 여성안심보안관 30여 명과 함께 ▲불법 촬영 근절을 위한 인식개선 홍보 ▲탐지카드, 응급세트 등 홍보 물품 배부 ▲공중화장실 내 불법 카메라 설치 여부 및 안심벨 작동 상태 등을 점검했다. 앞서 서구는 지난 3월부터 여성안심보안관을 대상으로 안전 모니터링 교육 및 현장 실…
서구 전향윤 기자2025. 06.25[뉴스맘]광주 광산구가 금호타이어 광주공장 대형 화재로 인해 어려움을 겪고 있는 인근 상권 회복 지원에 나선다. 지난 5월 17일 발생한 화재로 금호타이어 광주공장이 가동을 멈춘 이후 공장 주변의 전통시장, 골목상권이 매출 감소, 소비위축 등 피해를 호소하고 있다. 지속되는 경기침체 속 화재 피해가 겹치면서 공장과 바로 인접한 소촌동은 물론 송정5일시장, 송정매일시장, 선운지구, 광산로 등 도산동, 어룡동, 송정1‧2동, 신흥동 주요 상권의 어려움이 가중되고 있는 것이다. 광산구는 금호타이어 광주공장 화재 피해 확산을 최소화하…
광산구 전향윤 기자2025. 06.25[뉴스맘]광주교통공사는 최근 서구 마륵동 본사에서 상반기‘안전보건 경영위원회’를 개최하고, 중대재해 예방을 위한 안전관리 상태 점검 활동을 펼쳤다고 밝혔다. 이번 회의에는 안전보건 및 산업재해 분야의 외부 전문가 4명이 참석해 객관적이고 전문적인 시각에서 공사의 재난 안전 역량을 진단하고 향후 개선 방안을 논의했다. 특히 공사는 이날 회의에서 ▲안전보건 관련 방침 수립 및 효율적 조직 운영 ▲임직원 대상 재해예방 교육 및 대응 매뉴얼 구축 등 안전경영 전반에 대해 우수한 평가를 받았으며, 사업장 내 위험성평가의 세부 항목 구…
광주 전향윤 기자2025. 06.25[뉴스맘]재단법인 광주광역시 광주문화재단은 지역 예술인을 위한 '2025 광주예술인아카데미 – 창작기획 워크숍 ‘영상편집 및 콘텐츠 제작’'을 운영한다. 본 과정은 예술인의 디지털 콘텐츠 역량 강화를 목표로 오는 6월 23일부터 7월 7일까지 참여 신청을 받는다. 이번 프로그램은 AI 기반 동영상 편집 도구인 ‘캡컷(CapCut)’ PC버전을 활용해 영상 기획부터 촬영, 편집, 업로드까지 전 과정을 실습 중심으로 익힐 수 있도록 구성됐다. SNS 채널 운영 및 브랜딩 전략도 함께 다루어, 예술인이 자신의 활동을 디지털 콘텐츠로 …
문화 전향윤 기자2025. 06.25[뉴스맘]광주은행은 25일, 광주광역시, 기술보증기금과 광주 지역 내 주력산업을 영위하는 중소기업에 대한 금융지원을 확대하고자 ‘주력산업 위기 극복 및 수출⋅기술 경쟁력 강화를 위한 금융지원 업무협약’을 체결했다고 밝혔다. 이번 협약은 소재·부품·장비 업종 등 광주시 주력산업을 영위중인 중소기업에 금융비용 부담 완화와 원활한 자금조달을 위한 것으로, 세 기관의 협력체계를 구축해 주력산업의 위기 극복을 지원하고 수출·기술 경쟁력 강화 기반 마련을 목적으로 한다. 협약에 따라 광주은행은 1억 원을 특별출연하여 협약 대상 기업에 …
광주 전향윤 기자2025. 06.25[뉴스맘]광주지역 디지털 성범죄피해자가 빠르게 증가하고 있지만, 정작 현장에서는 그 수요를 따라가지 못하고 있는 것으로 나타났다. 광주광역시의회 환경복지윈원회 소속 정다은 의원(더불어민주당·북구2)은 25일 여성가족국 제1회 추경예산안에서 “디지털성범죄 상담 수요는 급증하고 있지만, 이에 맞는 예산과 인력 확충 등 대응이 부족하다”고 지적했다. 경찰청 통계에 따르면 광주시 내 디지털 성범죄 발생 건수는 △2022년 59건 △2023년 52건 △2024년 116건으로 급증했으며, △2025년(3월 말 기준)에도 이미 22건이 발생…
정치 전향윤 기자2025. 06.25[뉴스맘]광주시의회 서용규 의원(더불어빈주당, 비례대표)이 대표발의한 자원순환시설 주변의 환경 개선과 주민 민원 해소를 위한 '광주광역시 건축 조례 일부개정조례안'이 24일 상임위를 통과했다. 이번 개정안은 자원순환시설에 설치되는 차양시설 또는 비가림시설을 가설건축물 축조 신고 대상에 포함하는 내용을 골자로 하며, 현행 조례의 미비점을 보완하고 실효성 있는 환경 관리 체계를 마련하기 위한 것이다. 주요 개정 내용은'건축법 시행령' 별표 1 제22호에 따른 자원순환시설에 설치하는 차양시설 또는 비가림시설을 신고대상 가설건축물로 규…
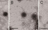
정치 전향윤 기자2025. 06.25[뉴스맘] 환경부 산하 국립호남권생물자원관(관장 박진영)은 비브리오균을 표적으로 하는 신종 박테리오파지 3종을 국내 새우 양식장에서 분리 후 그 특성을 규명한 연구 결과를 미생물학 분야 국제학술지에 게재했다고 25일 밝혔다. 연구진은 전남 진도 지역 새우 양식장 배출수에서 분리한 박테리오파지 3종*에 대해 형태학적 특징, 유전체 구성, 감염 활성 등을 종합적으로 분석하여 특성을 규명했다. 박테리오파지는 세균을 감염시켜 죽이는 바이러스로, 세균의 천적으로 불린다. 특히 특정 비브리오균에 대해 낮은 농도에서도 높은 생장 억…
광주 전향윤 기자2025. 06.25[뉴스맘]구례군 자원봉사단체 초심회는 지난 20일 간전면 백운관에서 마을 어르신 400명을 대상으로 음식 나눔 자원봉사를 실천하며 온정과 사랑을 나누는 '온기 나눔 캠페인'에 동참했다. 이날 초심회와 함께 미라클예술단의 재능기부 공연, 장애인복지관에서 차량운행 지원, 목월빵집에서 빵 나눔 봉사, 복돈에서 추어탕 제공 등 다양한 단체의 지원으로 '온기나눔 캠페인'에 힘을 보탰다. 초심회는 관내 취약계층의 주거환경개선사업, 재가장애인 밑반찬배달, 경로잔치 및 장수사진 촬영, 장학금기부 등 여러 자원봉사활동과 재능기부를 해오고 있으며…
구례 전향윤 기자2025. 06.25[뉴스맘]전남 구례군은 오는 6월 28일 오후 5시부터 8시까지 구례읍 5일시장 일원(상설무대)에서 '2025 구례 5일시장 제7회 오맥축제'를 개최한다고 밝혔다. 오맥축제는 구례읍 중심시가지형 도시재생사업의 일환으로, 침체된 구도심에 활력을 불어넣고 상권활성화를 도모하기 위해 2023년 처음 시작돼 7회째를 맞이하며, 4월부터 11월까지 3·8일 장이 열리는 토요일에 운영된다. 이번 제7회 오맥축제는 ‘500cc 맥주 1잔에 500원, 오후 5시에 하는 행사’라는 키워드로 성인 인증 후 맥주 교환권(4잔 2,000원)을 구매하…
구례 전향윤 기자2025. 06.25[뉴스맘]2026년 구례군에서 개최되는 양대 체전을 빛낼 대회 상징물이 선정됐다. 구례군은 지난 6월 11일과 20일, 2회에 걸쳐 대회 상징물 심사위원회를 통해 제65회 전남체전과 제34회 장애인체전 대회마크, 마스코트, 포스터, 구호, 표어 8개 부문에 대해 당선작과 가작을 각 1건씩을 확정했다고 밝혔다. 군은 공정한 심사를 위해 관계 기관․단체를 비롯해 외부 전문가 등으로 심사위원회를 구성하고, 주제적합성ㆍ상징성 등 평가기준을 마련해 대회마크와 마스코트, 포스터 부문에서 우수 작품을 심의ㆍ선정했다. 아울러, 전남체전 구호…
구례 전향윤 기자2025. 06.25한국전력 감사실, 광주광역시와 감사 전문성 강화를 위한 업무 협약 체결
전남장흥지역자활센터, ‘희망나눔 봄이박스’ 지원사업 추진
전남장흥지역자활센터, ‘같이도시락’ 대상 청소년에 크리스마스 선물 전달
여수소방서, 가정 내 전기안전수칙 준수 당부
구례군 공직자, 희망2026나눔캠페인 동참으로 이웃사랑 실천
구례군, 2026년 공공심야약국 운영체계 개편
나주시, ‘대한민국 새단장’ 캠페인 '우수' 지자체 선정
영암쌀은 영암기업이 먼저 소비한다
광주교통공사, (사)한국백혈병소아암협회 기부금 전달
"40도라고 안심했다간 큰일"… 전남소방, 이불 속 '저온화상' 주의보